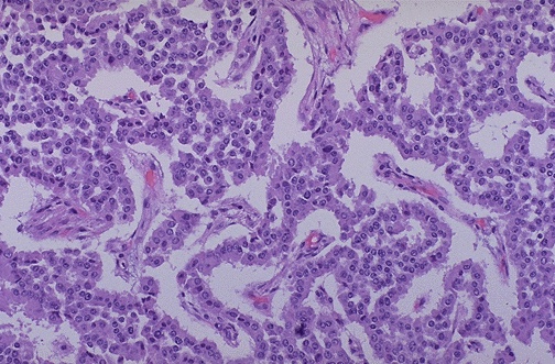
The neoplastic cells of the islet cell adenoma at high magnification demonstrate very little pleomorphism. Note the vascularity of this neoplasm, similar to normal islets. Such neoplasms may be small and detected only by their hormonal output.