
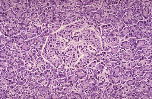
| Normal exocrine pancreas is composed of acini that secrete enzymes such as lipase, amylase, trypsin, and chymotrypsin, as well as fluid and electrolytes. Interspersed are the islets of Langerhans, one of which is seen here in the center, with endocrine function. |
![]() |