
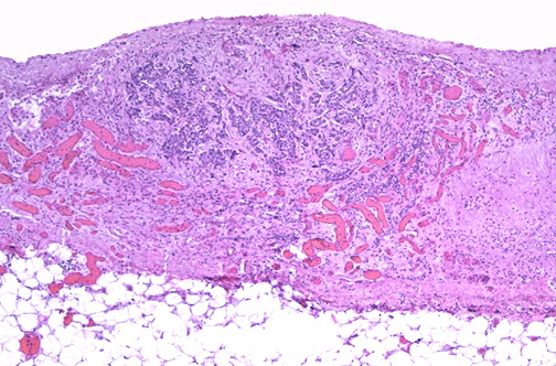
| In this small focus of metastatic carcinoma to the epicardium can be seen a key feature of neoplasms--angiogenesis. Note the proliferation of many small capillaries adjacent to the neoplastic cells. Neoplasms can produce factors that promote vascular growth to provide them a vascular supply and continued uncontrolled growth. |
![]() |