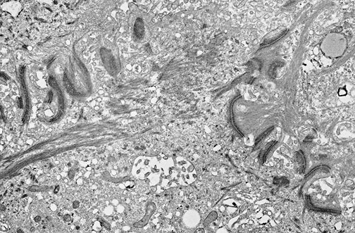
Features of a carcinoma are seen in this electron micrograph. This squamous cell carcinoma demonstrates many
desmosomes
, along with cytoplasmic
tonofilaments
streaming to the left.