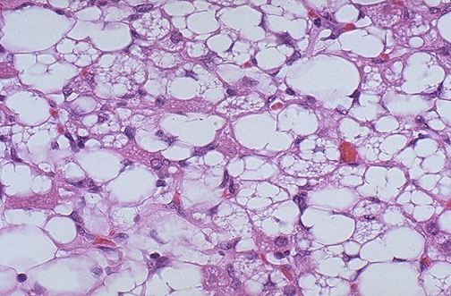
At high magnification, large bizarre lipoblasts are seen in this liposarcoma. Sarcomas are best treated surgically, because most respond poorly to chemotherapy or radiation.