
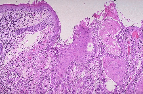
| The normal squamous epithelium at the left merges into the squamous cell carcinoma at the right, which is infiltrating downward. The neoplastic squamous cells are still similar to the normal squamous cells, but are less orderly. This is a well-differentiated squamous cell carcinoma. |
![]() |