
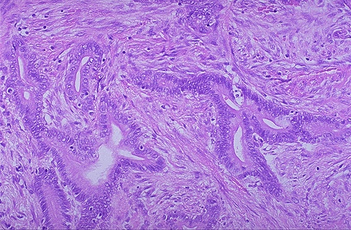
| The infiltrating glands of this colonic adenocarcinoma demonstrate less differentiation than the adenomatous polyp, although they still resemble glands. In general, less differentiation of a neoplasm means a greater likelihood of malignant behavior. This is the basis for grading. The higher the grade, the more aggressive the malignant neoplasm. Benign neoplasms are not graded. |
![]() |