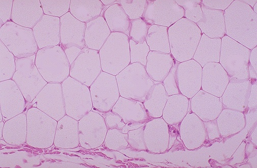
Here is the lipoma at high magnification. This is a good example of how a benign neoplasm mimics the tissue of origin. These neoplastic adipocytes are indistinguishable from normal adipocytes.