
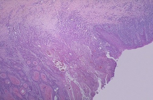
| This is the microscopic appearance of neoplasia, or uncontrolled new growth. Here, the neoplasm is infiltrating into the underlying cervical stroma. Of course, there can be carcinoma in situ in which a full-fledged neoplasm is present, but has not yet invaded. Over time, neoplasms may acquire characteristics that make them able to invade tissues, and this distinguishes them as malignant. |
![]() |