
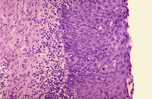
| When the entire epithelium is dysplastic and no normal epithelial cells are present, then the process has gone beyond dysplasia and is now neoplasia. If the basement membrane is still intact, as shown here, then the process is called "carcinoma in situ" because the carcinoma is still confined to the epithelium. Neoplastic epithelium is termed carcinoma. |
![]() |