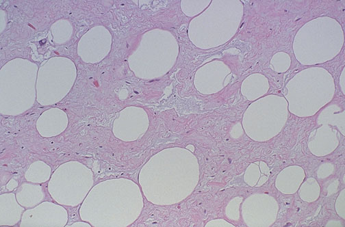
Here is a low grade liposarcoma. There are still recognizable cells with lipid, resembling steatocytes, but there is more stroma and some cells have larger nuclei. Of course, grossly this would tend to be a larger mass than a benign lipoma.