
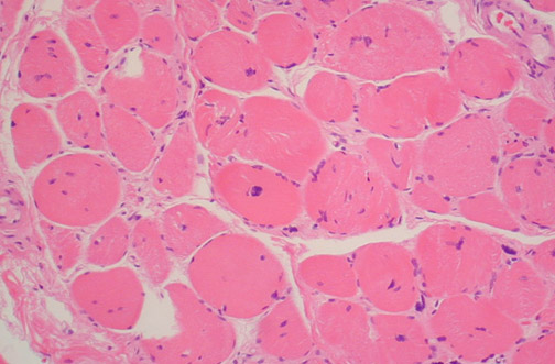
| Note the presence of central nuclei in the muscle fibers in cross section, along with variation in fiber size and fibrosis, typical for a myopathic process. This is myotonic dystrophy, the most common form of adult onset muscular dystrophy, affecting 1 in 8000 persons. There are three forms of the disease: congenital, which is symptomatic at birth or in the first year of life with respiratory or feeding difficulties; classic, with onset between 10 and 60 years; and minimal, with onset after 50 years and only manifesting cataracts, myotonia and a mild degree of muscle weakness. In addition to the effects on muscles there may also be cataracts, intellectual changes, hypersomnia, gonadal atrophy, insulin resistance, decreased esophageal and colonic motility, and cardiac disturbances. Frontal balding is a common phenotypic feature. |
![]() |