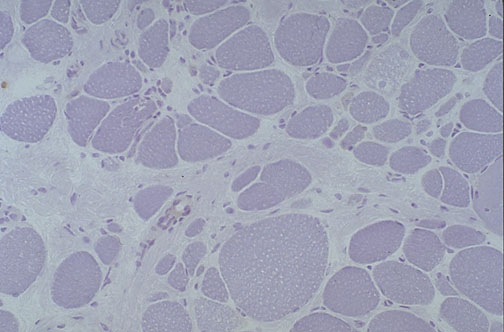
This immunoperoxidase stain utilizes antibody to the muscle protein called dystrophin, which is absent in this patient with Duchenne muscular dystrophy, because the normal gene on the X chromosome is not present.