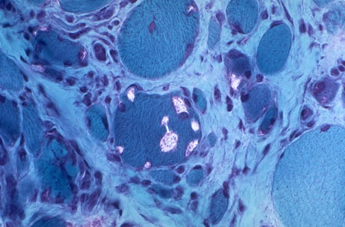
With trichrome staining, the key feature of inclusion body myositis is a "rimmed vacuole". Several are seen here that contain basophilic inclusions around the edges and within them.