
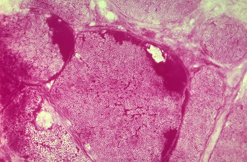
| McArdle disease is type 5 glycogen storage disease. The myophosphorylase enzyme (part of glycolytic metabolism) is deficient, and glycogen is deposited in muscle, seen here as the red deposits with PAS stain. This myopathic disease results in muscular weakness, muscle cramps following exercise, and lack of an exercise-induced rise in blood lactate. |
![]() |