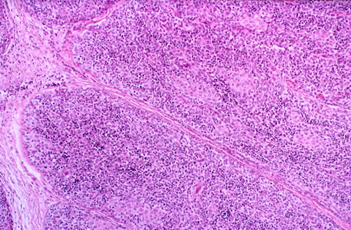
At low power, this thymoma contains epithelial elements, with a background of small round lymphocytes that are not neoplastic themselves. About half of all thymomas occur in association with myasthenia gravis.