
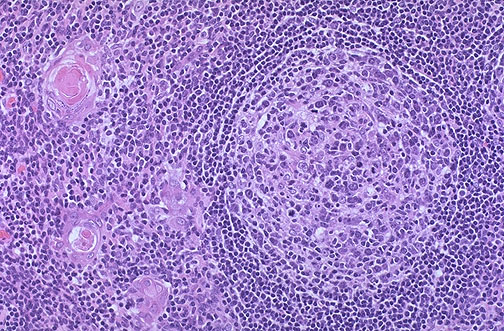
| The follicular hyperplasia of the thymus seen here in this case of thymic hyperplasia with myasthenia gravis is associated with autoantibody production. It is the acetylcholine receptor antibodies that diminish receptors in the motor end plates leading to the muscular weakness. |
![]() |