Microbiology Tutorial


Return to the tutorial menu.

Viral Infections

Viruses must attach to, enter into, and replicate within host cells; once established in the target organ, a viremia can result wtih dissemination. Forms of infection can include:

  • Abortive infection: the infection does not take hold

  • Acute infection: self-limited, such as a cold or flu

  • Latent infection: the virus is present but not actively producing demonstratable disease (typical for varicella-zoster virus or human immunodeficiency virus)

  • Persistent infection: the virus continues to proliferate without extensive cellular destruction (typical of chronic active hepatitis)

Viral classification

Viruses are composed of only a small number of components, and their classification is based upon presence and nature of those components.

  • Genome: a virus may contain DNA or RNA. The DNA may be double-stranded and linear, as are the Herpesviridae, or double-stranded and circular, as are the Adenoviridae.



    Parvovirus is the only single-stranded DNA virus.



    RNA viruses can be single-stranded or double-stranded. Single-stranded RNA may occur in one long segment or several short segments. Single-stranded RNA may be positive sense and allow direct translation of viral proteins



    Single-stranded RNA may be negative sense, requiring an intermediate step with transcription of the viral genome to mRNA, then translation to viral proteins.



    Retroviruses such as human immunodeficiency virus (HIV) are unique in that they transcribe DNA from their RNA via a special enzyme known as reverse transcriptase.

  • Capsid: all viruses have a protein shell called a capsid that surrounds the genome. Together, the genome and capsid are called the nucleocapsid.

  • Envelope: some viruses have a lipid envelope with glycoprotein spikes on the outer surface to allow attachment and entry into host cells. In general, unenveloped viruses persist longer in the environment. In general, loss of an envelope (via antiseptics such as detergents) lead to loss of viral infectivity.

    In the example below, human immunodeficiency virus (HIV) attaches to specific host cell receptors via glycoprotein moieties on its envelope. It unenvelopes within the cell, releasing the nucleocapsid, and the ssRNA transcribes proviral DNA that is incorporated into the host cell genome. The proviral DNA directs formation of new viral proteins that are assembled into nucleocapsids. The viral protease enzyme directs enveloping of the new virions as they bud off the host cell membrane.


Morphologic appearances of viral infection

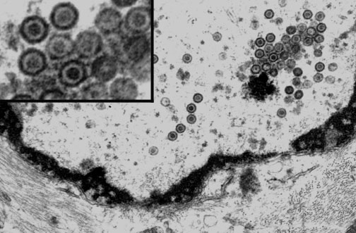
Viruses are too small to be seen by routine light microscopy. They may be seen by electron microscopy (EM) and on EM often appear as rounded particles in groups and arrays, as demonstrated by the herpesvirus infection in the figure below:

Viral infection of cells often leads to morphologic changes in the cells and infected tissues, termed viral cytopathic effects. A variety of patterns can occur.

  • No characteristic gross or clinical appearance of viral infection

  • Microscopic appearance characterized by interstitial lymphocytic infiltration (as a result of cell-mediated immune response) and characteristic viral cytopathic effects:

    • multinucleation, syncytia formation




    • inclusion bodies:

      • intranuclear - DNA viruses such as herpes viruses, including CMV

      • intracytoplasmic - RNA viruses such as rabies


    • apoptosis with cell lysis


Examples of viral diseases

Herpesviruses

  • Herpes simplex genitalis (HSV-2): genital vesicles

  • Herpes simplex labialis (HSV-1): cold sores

  • Varicella-zoster virus (VZV): chicken pox

  • HSV cytopathic effect : Acantholysis with vesicle formation and ulceration

    HSV cytopathic effect : Multinucleation and intranuclear inclusions

    • Herpes zoster: "shingles" seen peripheral nerves from long latent varicella-zoster virus infection activated in debilitated adults

    • Varicella zoster: chicken pox in kids is a mucocutaneous, asynchronous vesicular disease

  • Cytomegalovirus: either a congenital infection or an opportunistic infection (as in AIDS)

  • Cytomegalovirus : Intranuclear inclusions

  • Human herpesviruses 6, 7, and 8: HHV-6 and HHV-7 have been associated with the skin lesion known as exanthem subitum, while HHV-8 is associated with the development of Kaposi sarcoma

Epstein-Barr virus (EBV)

  • EBV is associated with infectious mononucleosis manifested by pharyngitis with lymphadenopathy and hepatosplenomegaly in young adults; rarely causes hepatitis. nasopharyngeal carcinoma

    EBV is associated with some neoplasms such as African Burkitt lymphoma, nasopharyngeal carcinoma

Human papillomavirus (HPV) - associated with squamous epithelial dysplasias and neoplasia (such as cervical dysplasias and cervical cancer) in genital and oral regions of infection

Human papillomavirus : Koilocytotic atypia

Poliovirus: affects anterior horn cells of spinal cord and motor neurons in nuclei of brainstem to produce paralysis

Rotavirus: produces mild diarrhea (half of childhood cases in U.S.)

Viral pneumonias: a whole host of viruses can produce pneumonitis and can be difficult to diagnose; bacterial pneumonias often follow. Culture is expensive and often of low yield. Serology may be helpful. Patient is usually given supportive therapy until infection subsides. Knowing the actual cause may not help clinically, but may be of value epidemiologically (to track and prevent influenza epidemics). The most common viral pneumonias are:

  • Influenza

  • Parainfluenza

  • Adenovirus

  • Respiratory syncytial virus (in children)

  • Respiratory syncytial virus : Cytoplasmic inclusion and syncytia formation with multinucleation

Human retroviruses: human immunodeficiency virus (HIV) and human T lymphocytotrophic viruses (HTLV); attack immune system


Next section.

Return to the tutorial menu.