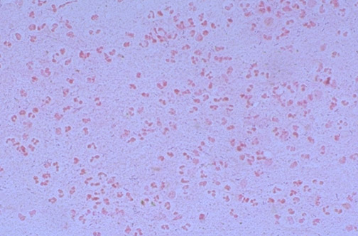
One feature of acute infection is a neutrophilic response. Thus, the background of many gram stains will contain neutrophils, as seen here in this sputum gram stain.