
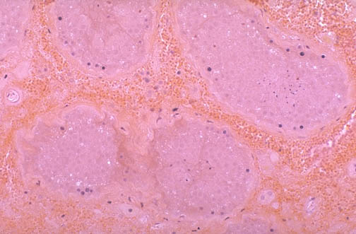
| This is the microscopic appearance of testicular torsion. In this case, the condition has proceeded to hemorrhagic infarction with no viable seminiferous tubules remaining. Note the outlines of the tubules remaining, but there is loss of nuclear detail, and the interstitium is hemorrhagic. |
![]() |