
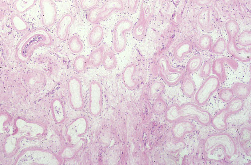
| The seminiferous tubules of this cryptorchid testis have become completely atrophic. If the testis does not assume its extra-abdominal position, then it will not function properly. Spermatogenesis must occur at a temperature a couple of degrees cooler than the rest of the body. A cryptorchid testis will not function to produce sperm. Unilateral cryptoorchidism leads to a decreased sperm count, but infertility is unlikely, because the other testis is functional. There is a long term risk in a cryptorchid testis for malignancy--usually a seminoma. In childhood, an orchiopexy procedure can be done (recommended before the age of 2) and the testis placed in the proper position, and most of the time the testis will function. Following puberty, it is unlikely that a cryptorchid testis will have spermatogenesis function. |
![]() |