
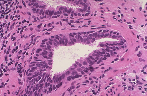
| The prostatic intraepithelial neoplasia (PIN) shown here can be low or high grade (as seen here). An adenocarcinoma accompanies high grade PIN about half the time. Note the stromal lymphocytic infiltrates, consistent with chronic prostatitis, an unrelated lesion. |
![]() |