
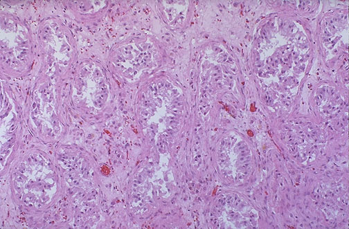
| Atrophic testis is demonstrated here. Note the marked loss of germ cells with remaining tall pink Sertoli cells, peritubular fibrosis, and interstitial fibrosis. If generalized, this is a cause for infertility. About half the time when infertility occurs in couples wanting children, the cause is a problem in the male genital system. |
![]() |