
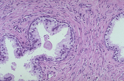
| The normal histologic appearance of prostate glands and surrounding fibromuscular stroma is shown here at high magnification. A small pink concretion (typical of the corpora amylacea seen in benign prostatic glands) appears in the gland just to the left of center. Note the well-differentiated glands with tall columnar epithelial lining cells. These cells do not have prominent nucleoli. |
![]() |