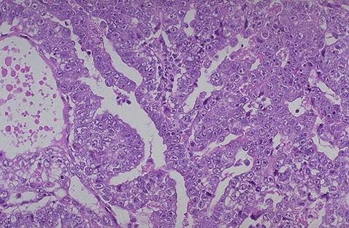
This is the histologic pattern of an embryonal carcinoma. Sheets of blue cells are trying to form primitive tubules.