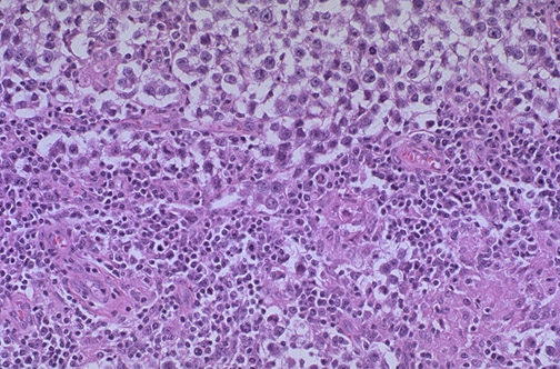
This is the histologic pattern of the typical seminoma. Lobules of neoplastic cells have an intervening stroma with characteristic lymphoid infiltrates. The seminoma cells are large with vesicular nuclei, and pale watery cytoplasm.