
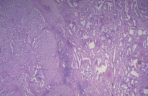
| At the right are normal prostatic glands containing scattered corpora amylacea. At the left is prostatic adenocarcinoma. Note how the glands of the carcinoma are small and crowded. Prostatic adenocarcinomas are given a histologic grade (Gleason's grading system is used most often, and includes a score of 1 to 5 for the most prominent component added to a score of 1 to 5 for the next most common pattern). For example, this adenocarcinoma could be given a Gleason grade of 3/3. |
![]() |