
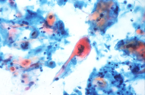
| One method for diagnosis of pulmonary neoplasms is fine needle aspiration (FNA) in which cells from a mass are sampled, often under radiologic guidance, for cytologic diagnosis. Seen here are cells from a squamous cell carcinoma that have enlarged, angular, hyperchromatic nuclei and orange-staining keratinized cytoplasm. |
![]() |