|
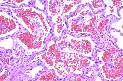
The acute intra-alveolar hemorrhage seen here is a consequence of capillary injury from basement membrane antibody in a patient with Goodpasture syndrome. The glomerular capillaries are targeted as well, leading to a rapidly progressive glomerulonephritis. Circulating anti-glomerular basement membrane antibody can be detected.
| |