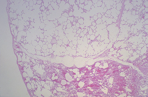
The dilated air spaces seen here are just beneath the pleura to the left. This is paraseptal, or distal acinar, emphysema. This condition is related to focal scar formation, not smoking.