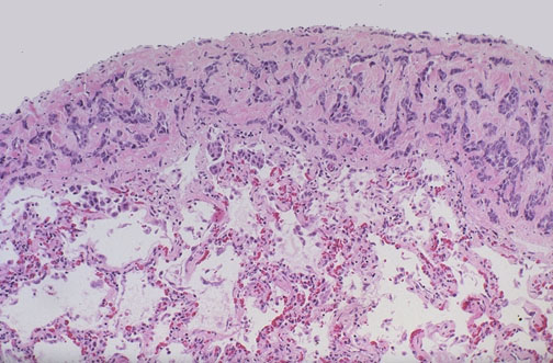
A focus of metastatic carcinoma from breast is seen on the pleural surface of the lung. Such pleural metastases may lead to pleural effusions, including hemorrhagic effusions, and pleural fluid cytology can often reveal the malignant cells.