
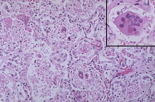
| This is respiratory syntytial virus (RSV) in a child. Note the giant cells which are part of the viral cytopathic effect. The inset demonstrates a typical giant cell with a round, pink intracytoplasmic inclusion. RSV accounts for many cases of pneumonia in children under 2 years, and can be a cause for death in infants 1 to 6 months of age or older. |
![]() |