
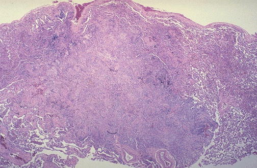
| This low power photomicrograph demonstrates a localized nodule of inflammation seen with pulmonary eosinophilic granuloma. A mixture of inflammatory cells are present, including eosinophils. Interstitial lesions appear in a bronchovascular distribution. This a localized form of Langerhans cell histiocytosis (a more disseminated form is rarely seen in young children as Letterer-Siwe disease). |
![]() |