 |
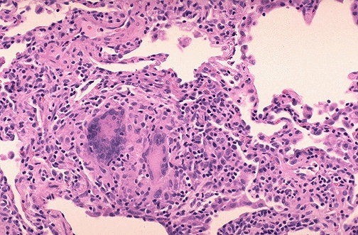
In this is an example of hypersensitivity pneumonitis that has become more chronic, a granulomatous type of inflammation is present, indicative of a type IV hypersensitivity reaction. Chronicity occurs in some cases because the diagnosis is difficult to make and the offending antigen difficult to determine. Progression to fibrosis, however, is not common. |