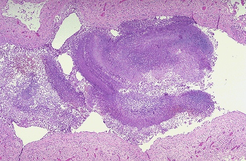
A fungus ball composed of blue-staining hyphal elements of Aspergillus is seen here in a bronchus. Fungus balls may also form when fungi colonize cavitary lesions of tuberculosis.