
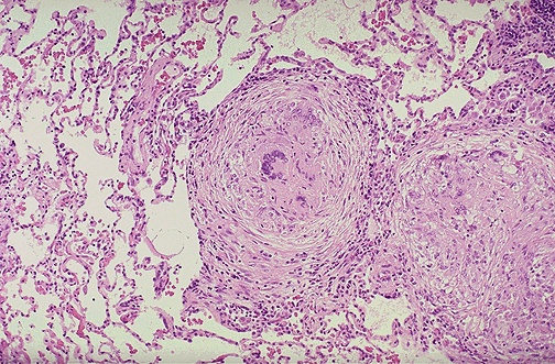
| Well-defined granulomas are seen here. They have rounded outlines. The one toward the center of the photograph contains several Langhans giant cells. Granulomas are composed of transformed macrophages called epithelioid cells along with lymphocytes, occasional PMN's, plasma cells, and fibroblasts. The localized, small appearance of these granulomas suggests that the immune response is fairly good. |
![]() |