
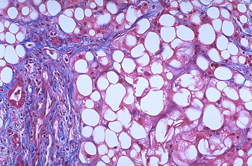
| The term non-alcoholic fatty liver (NAFL) has been applied to the appearance of fatty liver in patients without a history of alcoholism. NAFL can be seen with diabetes mellitus. NAFL can be reversible, but in some cases it proceeds to fibrosis, called steatohepatitis (NASH), and even cirrhosis. There is variable inflammation. This trichrome stain demonstrates blue-staining collagen extending from the centrilobular region at the right. |
![]() |