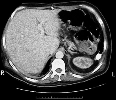
Click on the abscesses in the CT scan of liver above:

This CT scan of the abdomen in transverse view demonstrates multiple small lucent lesions representing abscesses from septicemia. The spleen is absent.