
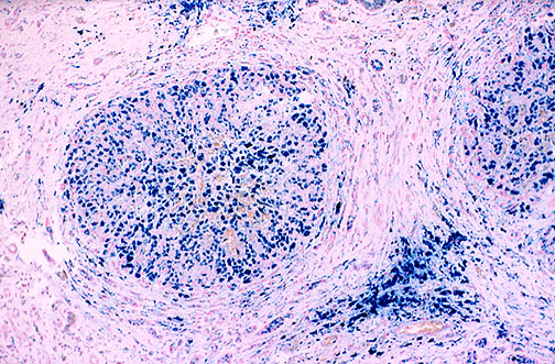
| The Prussian blue iron stain reveals extensive hepatic hemosiderin deposition microscopically in this case of hereditary hemochromatosis (HH). Note that there is also cirrhosis. Excessive iron deposition in persons with HH can affect many organs, but heart (congestive failure), pancreas (diabetes mellitus), liver (cirrhosis and hepatic failure), and joints (arthritis) are the most severely affected. |
![]() |