
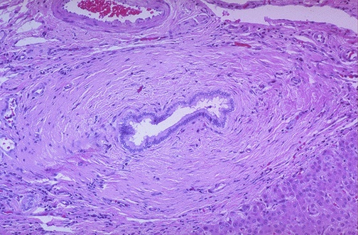
| Microscopically, this bile duct in a case of primary sclerosing cholangitis (PSC) is surrounded by marked collagenous connective tissue deposition with atrophy of the epithelium and narrowing of the lumen. The alkaline phosphatase is markedly elevated. Patients can have icterus and pruritis. Males from 20 to 50 years of age are most often affected. |
![]() |