
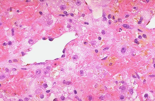
| If the passive congestion is pronounced, then there can be centrilobular necrosis, because the oxygenation in zone 3 of the hepatic lobule is not great. The light brown pigment seen here in the necrotic hepatocytes around the central vein is lipochrome. |
![]() |