
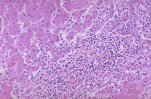
| Viral hepatitis leads to liver cell destruction. A mononuclear inflammatory cell infiltrate extends from portal areas and disrupts the limiting plate of hepatocytes which are undergoing necrosis, the so-called "piecemeal" necrosis of chronic active hepatitis. In this case, the hepatitis B surface antigen (HbsAg) and hepatitis B core antibody (HbcAb) were positive. |
![]() |