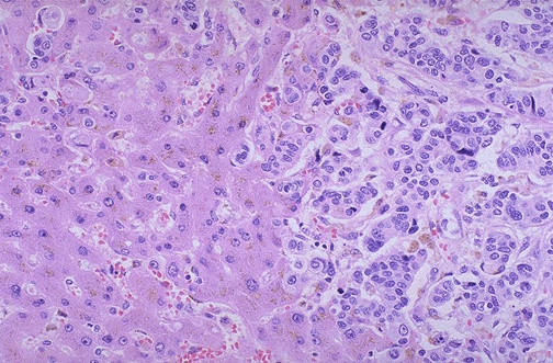
Microscopically, metastatic infiltrating ductal carcinoma from breast is seen on the right, with normal liver parenchyma on the left.