
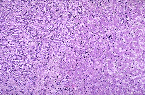
| The carcinoma at the left has a glandular appearance that is most consistent with a cholangiocarcinoma. A liver cancer may have both hepatocellular as well as cholangiolar differentiation. Cholangiocarcinomas do not make bile, but the cells do make mucin, and they can be almost impossible to distinguish from metastatic adenocarcinoma on biopsy or fine needle aspirate. |
![]() |