
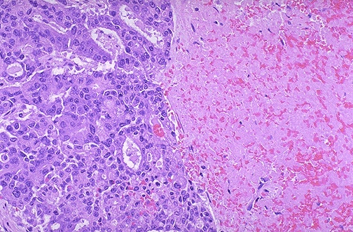
| At the right is an area of necrosis and hemorrhage in this hepatocellular carcinoma. Liver cell carcinomas are very prone to necrosis and hemorrhage. In fact, hemorrhage from such an hepatocellular carcinoma at the liver capsule may lead to hemoperitoneum. |
![]() |