
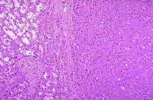
| Normal liver tissue with a portal tract is seen on the left. The hepatic adenoma is on the right and is composed of cells that closely resemble normal hepatocytes, but the neoplastic liver tissue is composed of disorganized hepatocyte cords and does not have a normal lobular architecture. |
![]() |