
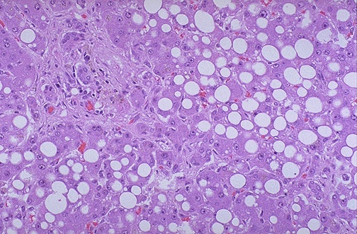
| Here are lipid vacuoles within hepatocytes in a case of macrovesicular steatosis (fatty change). The lipid accumulates when lipoprotein transport is disrupted and/or when fatty acids accumulate. Alcohol (ethanol), the most common cause, is a hepatotoxin that interferes with mitochondrial and microsomal function in hepatocytes, leading to an accumulation of lipid. |
![]() |