PBL Sessions: Vascular Diseases 1


Return to the Main Menu



Page 6

Further History:

Doris develops the sudden onset of chest pain with diaphoresis and shortness of breath late one afternoon. She is taken to the emergency department of a local hospital.

On obtaining a history she states that she has had occasional episodes of chest pain in the past 5 years, but nothing this bad, particularly because of the shortness of breath. She had some chest pain about a week ago. She has smoked 1 pack of cigarettes per day for the past 45 years.

On examination she is in moderate distress. Vital signs show temperature 36.9 C, pulse 101/min, respiratory rate 25/min, and blood pressure 145/95 mm Hg. Her lungs are clear to auscultation. Her heart rate is slightly irregular; there are no murmurs. Her abdominal exam is normal. Pulses are 2+ and equal in all extremities. She has tenderness to palpation of her upper posterior right leg. She has no neurologic findings.

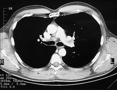
Figure 1: Chest CT scan


Further History:

With all that has been happening to grandma, the children have been left at home. A neighbor who checked on them calls to say that Vickie collapsed and is talking incoherently. She is brought to the ED.

Physical Examination (Vickie): She is not oriented. Vital signs: temperature 37.0 C, pulse 95/min, respiratory rate 30/min, and blood pressure 60/40 mm Hg. Lungs clear to auscultation. Heart rate regular with no murmurs. Abomen non-tender and bowel sounds present. No abnormal findings on rectal exam, with stool negative for occult blood. Pulses equal and 1+ in all extremities. PERRLA. No focal neurologic deficits. Decreased skin turgor and dry mucus membranes.

Tasks

  • What problems can you identify for these family members?

  • What hypotheses can you suggest that might be causing their problems?

  • What hypotheses explain these findings?

  • Explain your reasoning for the hypotheses you choose.

  • What additional laboratory test(s) would you order?

Stop !! Complete discussions and tasks before moving to the next page.