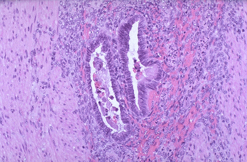
Image 3.3
Microscopically, the lesions on the serosal surfaces are composed of both endometrial glands and stroma with hemorrhage.