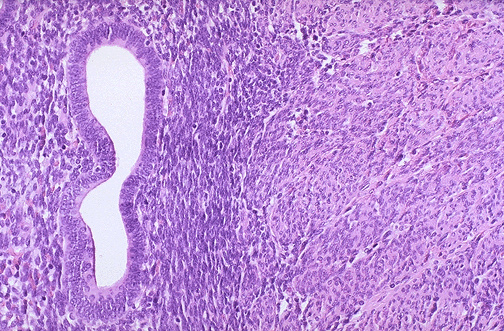
Image 2.3
At high power, an endometrial gland with stroma is seen in the myometrium.